I. Đại cương
Điều trị răng dưới gây mê là một phương pháp nha khoa chuyên sâu, trong đó bệnh nhi được sử dụng thuốc gây mê toàn thân để đạt đến trạng thái ngủ sâu và không cảm nhận đau trong suốt quá trình thực hiện các thủ thuật nha khoa phức tạp hoặc kéo dài
Phương pháp gây mê để điều trị răng cho trẻ được chỉ định cho các trường hợp đặc biệt gồm:
- Trẻ không hợp tác điều trị trên ghế nha khoa thông thường
- Cần thực hiện nhiều thủ thuật phức tạp (như nhổ răng, chữa tủy, trám nhiều răng) trong cùng một lần hẹn, giúp tiết kiệm thời gian và giảm thiểu sang chấn tâm lý cho trẻ.
II. Triệu chứng sâu răng ở trẻ
1. Giai đoạn khởi phát
- Có thể xuất hiện chấm nhỏ hoặc có sự thay đổi màu răng nhẹ trên bề mặt nhai, vị trí tiếp xúc giữa 2 răng hoặc trên bề mặt răng.
- Cảm giác đau buốt nhẹ thoáng qua. Nên đa phần trẻ đều không cảm nhận được.

Giai đoạn khởi phát
2. Giai đoạn tiến triển
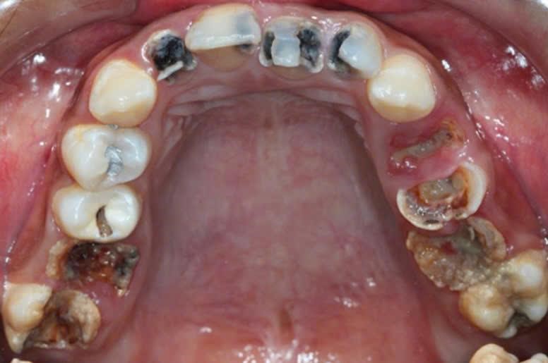
- Xuất hiện sự biến đổi màu sắc rõ rệt sang màu nâu tối hoặc màu đen.
- Lỗ sâu ở răng nhỏ như đầu tăm hoặc chiếm một phần diện tích tương đối trên bề mặt nhai, tình trạng vết sâu dưới răng không thể nhìn thấy bằng mắt thường có thể lớn hơn nhiều so với tình trạng nhìn thấy trên bề mặt.
- Thức ăn dễ vướng vào lỗ sâu.
- Trẻ kêu đau khi ăn thức ăn nóng, lạnh.
- Trường hợp lỗ sâu xâm lấn đến phần tủy có thể gây viêm tủy, và các biến chứng nha chu: sưng má, apxe vùng lợi.

Giai đoạn tiến triển
3. Điều trị sâu răng cho trẻ
- Khi thấy trẻ có các dấu hiệu trên cha mẹ nên đưa trẻ đến khám tại phòng khám Khoa Răng – Hàm – Mặt, Bệnh viện nhi Trung ương để các bác sĩ đánh giá chính xác mức độ sâu răng qua thăm khám và chụp X-quang toàn hàm (chụp panorama ).
- Với những trẻ cần điều trị răng, các bác sĩ sẽ làm cho trẻ trên ghế răng, khi trẻ không hợp tác sẽ có chỉ định điều trị răng gây mê.
- Tại Khoa Răng – Hàm – Mặt Bệnh viện Nhi Trung ương đã và tiến hành điều trị răng dưới gây mê một lần duy nhất cho tất cả những răng có tổn thương tại thời điểm thăm khám.

Trong và sau khi điều trị răng gây mê
III. Cách chăm sóc trẻ sau điều trị răng gây mê
1. Chăm sóc trẻ giai đoạn hồi tỉnh sau gây mê
Theo dõi các dấu hiệu sinh tồn toàn thân.
- Liên tục theo dõi nhịp tim, nhịp thở, huyết áp, và đặc biệt là SpO2 (độ bão hòa oxy trong máu) cho đến khi trẻ tỉnh táo hoàn toàn.
- Đảm bảo đường thở thông thoáng; đặt trẻ ở tư thế an toàn (nằm nghiêng) để tránh sặc nếu nôn
Kiểm soát chảy máu và đau:
- Kiểm tra vị trí nhổ răng để đảm bảo cầm máu tốt ( trong trường hợp có nhổ răng kèm theo)
- Đánh giá mức độ đau. Thực hiện y lệnh thuốc giảm đau theo chỉ định của bác sĩ
2. Tại khoa điều trị
Cho trẻ uống sữa sau khi tỉnh táo hoàn toàn và có phản xạ nuốt tốt (thường sau 1-2 giờ). Bắt đầu bằng lượng nhỏ; nếu trẻ không nôn, có thể cho ăn súp hoặc cháo loãng
Hướng dẫn cho ba mẹ:
- Giải thích rõ ràng về các triệu chứng bình thường sau gây mê: buồn ngủ, buồn nôn nhẹ và dấu hiệu bất thường cần báo ngay cho bác sĩ
- Đảm bảo ba mẹ đã hiểu rõ về liều dùng và thời gian dùng thuốc tại nhà
3. Chăm sóc tại nhà sau khi ra viện
Trẻ có thể nằm viện theo dõi 1 ngày sau đó được xuất viện
3.1. Chế độ ăn
- Ngày đầu tiên Ăn lỏng/mềm, nguội/mát: Sữa, cháo nhuyễn nguội, súp, sinh tố. Tránh hoàn toàn thức ăn nóng, cứng, dai, hoặc cay.
- Một tuần đầu tiếp tục ăn mềm, tránh nhai cứng ở vùng răng mới điều trị. Khuyến khích thức ăn giàu dinh dưỡng.
- Với các bé không có có triệu chứng thì có thể ăn uống trở lại bình thường.
3.2. Dùng thuốc
- Giảm đau: Cho trẻ uống thuốc giảm đau (thường là Paracetamol) theo đúng liều lượng và thời gian đã được bác sĩ chỉ định.
- Kháng sinh: Nếu được chỉ định dùng kháng sinh, trẻ phải uống đủ liều và đủ ngày.
3.3 Vệ sinh răng miệng
- Chải răng đều đặn, đúng cách 2 lần/ ngày với kem đánh răng có chứa fluor. Có thể súc miệng nhẹ nhàng bằng nước muối sinh lý ấm (nếu có nhổ răng/tiểu phẫu.
- Duy trì chế độ ăn hợp lý, hạn chế đồ ăn ngọt chứa nhiều đường.
- Uống nhiều nước.
- Không ăn đêm.
3.4. Dấu hiệu cần đưa trẻ tái khám
Cha mẹ cần đưa trẻ đến bệnh viện ngay nếu xuất hiện một trong các dấu hiệu sau:
- Chảy máu: Chảy máu không cầm được bằng cách cắn gạc sạch (trong trường hợp nhổ răng.
- Sốt cao: trên 38,5°C.
- Nôn ói liên tục.
- Khó thở: Trẻ thở nhanh, thở dốc, hoặc có dấu hiệu tím tái.
- Đau không dứt: Đau dữ dội không giảm sau khi dùng thuốc giảm đau.

Trẻ được thăm khám và điều trị toàn diện tại Khoa Răng – Hàm – Mặt, Bệnh viện Nhi Trung ương (ảnh minh họa, nguồn internet)
Bệnh viện Nhi Trung ương là một trong những bệnh viện hàng đầu của cả nước về chăm sóc sức khỏe trẻ em. Trong đó, Khoa Răng – Hàm – Mặt đóng vai trò là nơi tiếp nhận, thăm khám, tư vấn và điều trị toàn diện cho trẻ khe hở môi – vòm miệng từ những giai đoạn đầu tiên cho đến khi trưởng thành cũng như các bệnh lý răng miệng trẻ em. Hiện tại, Khoa Răng – Hàm – Mặt cùng các tổ chức quốc tế về khe hở môi – vòm miệng đã và đang tài trợ cho các trẻ đến khám và điều trị tại Khoa nhằm giúp trẻ phục hồi về thẩm mỹ, chức năng và hòa nhập xã hội.